Juli är ju inte slut än, men en hel del hundrelaterat har jag hunnit med.Jag åkte och hälsade på mamma som har Pufflingens Filipendula (Lenza). Dags för röntgen, så åkte iväg till Gävle med Lenza och fixade det. Väldigt fina höfter, trodde nästan hon skulle få A men skk´s utlåtande blev HD B och armbågar ua. Fint det med.Lenza och mamma Briza hade så roligt i fyra dagar sedan åkte vi hem.Muffy älskar att åka båt, fiska, -och äta rå fisk.
Briza med dottern Filipendula
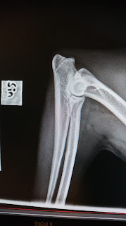
Filipendulas höfter och armbåge.
Brizas son Aron (Filago) som bor i Gbg har även varit här och hälsat på. Pufflingens Filago-Aron
Och jag och Håkan tog oss en semesterresa nedåt landet, så fick jag även träffa brodern Dexter (Fagus). Så tre F-pufflingar 😊
Pufflingens Fagus-Dexter
Men även en halvsyster till F-puffarna, nämligen Brizas dotter Katla (Isatis) från I-kullen, de yngsta Puffarna. Hon bor i Skåne och är drygt fem månader.
Pufflingens Isatis-KatlaI Skåne bor även en puffling ur H-kullen som vi passade på att hälsa på, nämligen Elvis, Hesperis Tristis. 8 månader bara men såååå fin, och mysig kille!
Pufflingens Hesperis Tristis-Elvis
Jag har även hunnit ögonlysa två hundar så att de har en fräsch ögonlysning inför parning, jättefina ögon på dem. Det är Wilda (Guldis/Cassiope) som skall ha en kull i vinter, om de behagar öppna gränsen till Finland till hösten då.
Puffligens Cassipe-Wilda
Och Molly, Deschampsia som också skall ha en kull. Superkul att träffa henne för det har blivit alltför sällan. Även om hon var ganska pälslös just nu så är hon en superfin tik, väldigt välbyggd och med fint huvud. Skall bli jättespännande med båda kullarna!
Pufflingens Deschampisa-Molly
Och Mollys mamma Acki (som är mor till D och G-kullen, var här och hälsade på en sväng. Så en hel del Pufflingar har jag fått träffa men jag hade gärna träffat ändå fler. Semestern är ju inte riktigt slut än heller 😉

Lilla Alchemilla-Acki
Jag har även bokat in Pufflingens Euphorbia på BPH, egentligen skulle Filipendula gjort det nu också men det fanns ingen tid som passade när hon kommer ner hit till Bohuslän, så jag hoppas att hitta en senare tid för henne, morsan får väl gå BPH.t själv.